BLS map
Didymocyrtis epiphyscia sens str
Didymocyrtis epiphyscia sens. str.

Growth type lichenicolous
Photograph on Physcia aipolia

Only occurs on Physcia species.

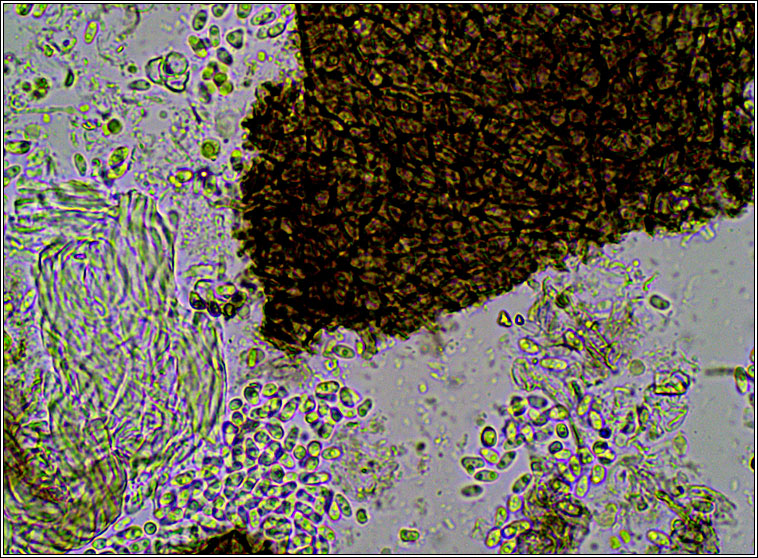
The conidia are hyaline, simple, 4-5.5(-6) x 2.5-3.5(-4) µm, broadly ellipsoid and smooth Micrographs below.

Similar: Didymocyrtis epiphyscia s.lat has slightly narrower conidia and is probably part of a species aggregate occuring on other hosts


Didymocyrtis epiphyscia sens str

Micrograph
Didymocyrtis epiphyscia sens str

Didymocyrtis epiphyscia sens str
Didymocyrtis epiphyscia sens str
Photographs: Wareham, Dorset. October 2025

All images used are copyright. Please contact me if you find errors.